
Can a Recessed Chin Be Fixed with MARPE or FME?
One of the most common questions I get is whether a recessed chin can be improved using MARPE (Micro-Implant Assisted Rapid Palatal Expander) or FME (Facegenics Midfacial Expander). The biggest misconception here lies in understanding what these appliances actually do.
Both MARPE and FME are designed to influence the midface, not the lower third of the face where the chin and mandible are located. These appliances work by engaging the bony structures of the maxillary complex, gently separating the two halves of the maxilla (upper jaw) along the midpalatal suture.
This process specifically targets the upper jaw and does not directly move the mandible. So, you might wonder — if the lower jaw isn’t being moved, how can upper jaw expansion affect the chin or jawline?
Technically speaking, the two aren’t directly connected. However, that’s not the full story.
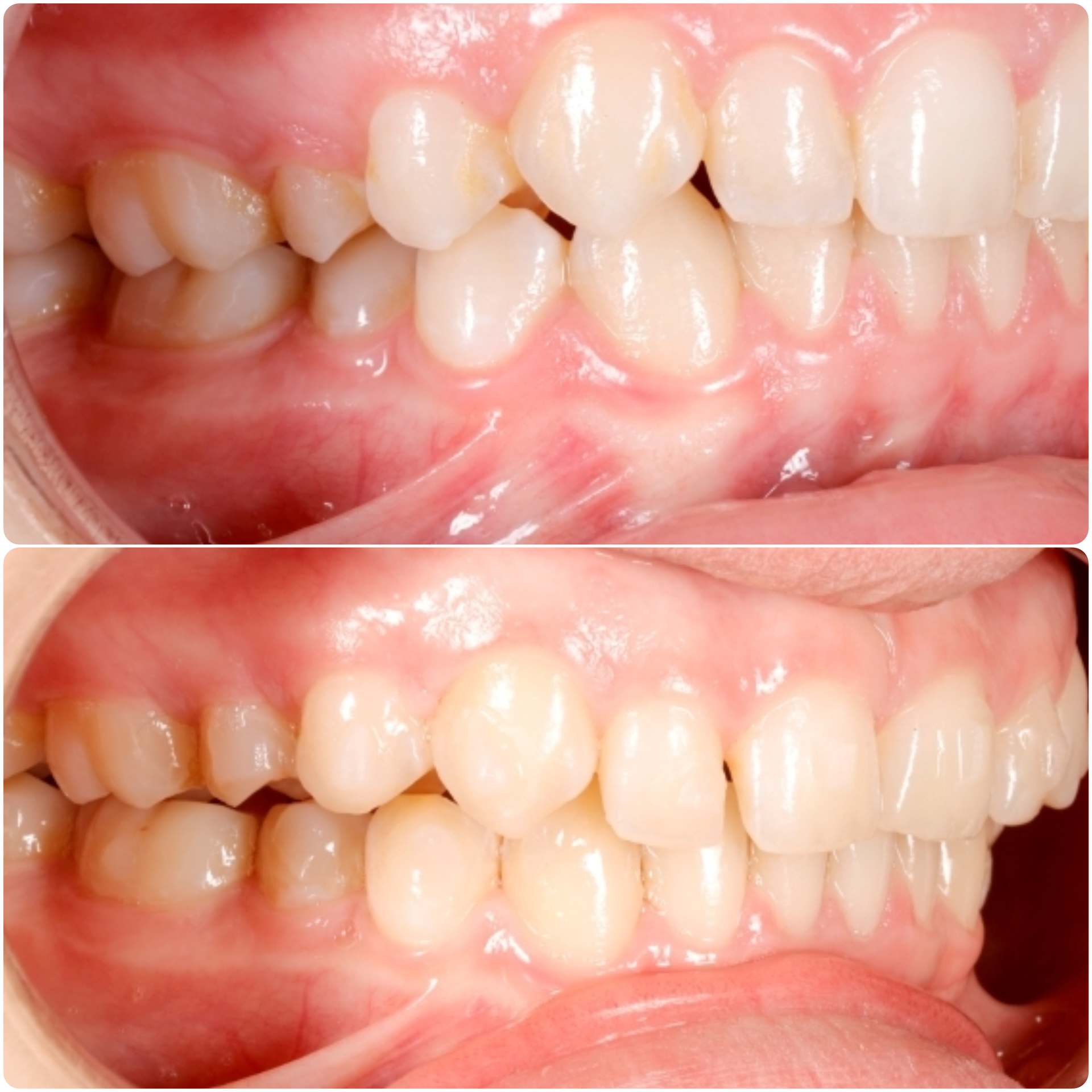
Let’s look at the case of a teenage girl who achieved remarkable results through our MARPE F.A.C.E. protocol. Her lateral cephalometric tracings showed not only forward movement of the maxilla but also significant advancement of the mandible. The relationship between the two jaws improved dramatically — transitioning from a recessed mandibular position to a balanced, harmonious profile.




.jpg)
How is this possible?
The answer lies in the MARPE F.A.C.E. protocol we’ve developed in our practice. Through years of observing midfacial transformations and refining our approach, we’ve learned to combine midfacial expansion with strategically programmed aligner therapy.
Unlike braces, which are limited by their mechanical constraints, our custom aligner protocols can guide both jaws forward, enhancing facial aesthetics and improving upper airway dimensions at the same time.
The result?
A more balanced facial profile, improved breathing, and a healthier, more confident smile.
